기사 메일전송
  • 기사등록 2018-03-09 14:47:08
기사수정


▲ 안과용 망막진단장비(OCT)에 장착된 표준 안구팬텀(빨간색 원 표시)



우리 눈의 핵심조직인 망막이 손상되는 환자가 증가하고 있다. 건강보험 빅데이터 분석에 따르면, 망막질환으로 진료받은 환자는 2010년 이후 5년 사이 연평균 8.5%씩 증가했다. 마찬가지로 안과 진단장비 시장 역시 환자 급증에 따라 가파른 성장세를 보이고 있다.


한국표준과학연구원 연구진이 안과 의료장비를 정확하게 평가하는 핵심기술 개발에 성공했다. 그동안 의료기기 국산화의 걸림돌로 지적돼왔던 인증 문제가 해결될 전망이다.


KRISS 나노바이오측정센터 이상원 책임연구원팀은 대표적인 망막 진단장비인 광간섭단층촬영기(OCT)의 성능을 평가할 수 있는 표준 안구팬텀을 개발했다.



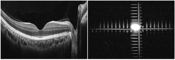
▲ 안과용 망막진단장비(OCT)로 촬영한 사람의 망막(좌)과 표준 안구팬텀(우) 영상


팬텀(Phantom)은 MRI, CT와 같은 의료영상기기의 성능을 평가하기 위한 도구로 인체 대신 장비에 삽입되어 측정의 기준을 잡아주며, 자동차 충돌실험에 사용되는 인형인 ‘더미(Dummy)’에 비유된다.


우리 눈의 망막은 빛을 감지하며 시력을 결정하는 핵심 조직이지만, 두께가 0.5 mm 미만으로 한번 손상되면 복구가 불가능하다. 당뇨망막병증, 황반변성과 같은 안과질환을 늦게 발견하면 실명까지 초래하는 원인도 얇고 손상에 취약한 망막의 특징 때문이다.


‘눈을 찍는 CT’라고도 불리는 OCT는 안과질환을 진단하고 치료경과를 확인하는 대표적인 망막 단층촬영 장비다. OCT는 현재 안과 의료영상장비 시장에서 가장 큰 시장을 차지하고 있다.


하지만 우리나라는 OCT를 전량 수입에 의존하고 있다. 국내에서는 기업이 제품을 만들어도 광학적 성능을 평가할 방법이 없었기 때문이다. 상황이 이렇다보니 국산제품이 국내 식약처는 물론 미국식품의약국(FDA), 유럽통합인증(CE) 등의 해외 인증기관으로부터 의료기기 인허가를 받는 데 어려움이 있었다.


이상원 책임연구원팀은 두께와 길이를 정확히 측정할 수 있도록 표준화된 안구팬텀을 개발했다. 안구팬텀을 실제 안구 대신 OCT로 촬영하면 장비의 성능을 완벽하게 평가할 수 있다.





표준 안구팬텀은 눈금이 표시된 자에 비유할 수 있다. 팬텀에 표시된 실제 눈금과 OCT의 3차원 영상 측정결과를 비교하면 장비의 정확도 파악과 교정이 가능하다.


이번 성과는 기본적으로 OCT 국제표준인증(ISO 16971)을 충족하지만, ISO 규정은 주로 안구팬텀 자체의 규격조건을 제시하고 있다. 연구진은 규정에 표기되지 않아 아쉬운 점으로 지적되어온 OCT의 평가방법과 절차도 새롭게 확립했다. 이제는 국내에서도 의료기기를 체계적으로 평가할 수 있게 되어 국산화가 가능해지는 것이다.


KRISS 히든챔피언육성사업의 지원으로 개발된 표준 안구팬텀과 평가방법은 국내 안광학 의료기기 전문기업인 ㈜휴비츠의 OCT 성능향상 및 인증에 사용되고 있다. 그 결과 식약처, 유럽 CE 인증을 획득하고 미국 FDA 승인을 진행 중이다.


표준 안구팬텀을 통한 OCT의 정확한 성능 평가는 안과 진단의 정확도를 높일 뿐만 아니라 의료데이터의 표준화 또한 기대해 볼 수 있다. 현재 수입하는 OCT는 병원마다 규격이나 측정치가 다를 수 있지만, 안구팬텀을 기존 장비의 교정에 사용하면 이러한 문제를 해결하고 모든 안과들의 진단 데이터를 표준화할 수 있다.


KRISS 이상원 책임연구원은 “표준 안구팬텀으로 OCT 평가체계가 확립되어 장비 국산화의 길이 열렸다. 또한 표준화를 통해 양질의 의료 빅데이터를 축적할 수 있다”며 “추후 망막은 물론 혈관까지 완벽히 구현하여 눈을 대체할 수 있는 안구팬텀을 개발할 것”이라고 말했다.

0
기사수정

다른 곳에 퍼가실 때는 아래 고유 링크 주소를 출처로 사용해주세요.

http://www.yes9.co.kr/news/view.php?idx=355
서브_한국종합정밀강구
서브_유니팩시스템
최신뉴스더보기
모바일 버전 바로가기